Clinical Cases
I would like to share before and after photos from some unique cases I have worked on, that demonstrate my attention to detail in different areas of dentistry.
​
All cases were done in General Practice Residency at the University of Louisville Hospital, working without a dental assistant, and working with patients of low socioeconomic status with complex medical histories.
​
I recognize that there is still a lot of room for improvement in these cases. While I am still a young dentist, I hope that this section conveys my motivation to perform my very best, and my dedication to high-quality dentistry.

Case 1: fixed prosthodontics and periodontics

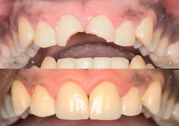
Case 2: Aesthetics

Case 3: Removable Prosthodontics

Case 4: Operative dentistry

Case 5: Veneers and crown lengthening

Case 6: Periodontal surgery

Digital Dentistry
I would like to convey my exposure to the world of digital dentistry, as I believe that embracing it is essential for dentists to deliver high-quality care in today's rapidly evolving landscape.
Residency Dental laboratory setup
As mentioned, I did a 1 year hospital residency where I had access to 3 intraoral scanners and 7 3d printers. During that year I developed a good understanding as well as passion for digital dentistry workflow.
In residency I printed my own nightguards, deprogrammers, dental models, as well as surgical guides.

I was also trained on 3shape trios as well as Cerec primescan and omnicam scanners. I am trained on in-house milling and have worked with same-day crown workflows.
Case examples:
Here are some images demonstrating my digital workflow from a case of mine where a patient received 4 maxillary implants for an overdenture.

Here is an example of another, albeit more simple example of how I incorporate digital dentistry into my everyday dental workflow. I have performed a full mouth reconstruction on this patient, using an all-digital workflow.

Personal 3d printer setup:
After residency, having missed the fun experience and usefulness of digital scanning and 3d printing I have purchased my own much cheaper printer setup. I have been testing how different resins, printing temperatures and print settings affect outcomes. I print my own diagnostics models and smile design mockups.
With personal health and wellbeing being close to my heart, I have researched the hazards of printing resins and have built myself a 3d-printer chamber with an air exhaust and a custom plexiglass window insert to protect myself against them.

My 3d designs inside and outside dentistry:
I have a good understanding of 3d design and manipulation of 3d objects. I am proficient in Meshmixer / Fusion 360, and have shared some screenshots of hobby designs I have created both inside and outside dentistry. These include Lucia jigs and anterior deprogrammers for jaw manipulation, as well as a fun coffee mug I created in shape of an implant, and a design of a luggage wheel I have designed and printed for my luggage after it has been damaged on a flight. These are only a few of many 3d designs that I have created from scratch.
I have an account on a 3d design sharing website where I sell my designs, as well as an Etsy store, where I sell my finished 3d prints. I only average a few sales per month, however I treat it as a hobby and not a business.
